БРЕКЕТЫ
Установка брекетов в Уфе в стоматологии
МИЛЛЕННИУМ КЛИНИК

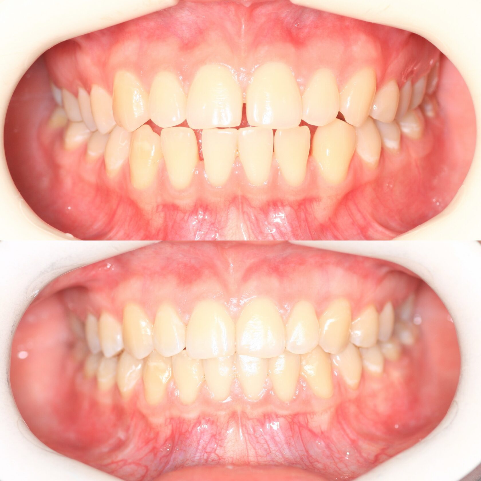
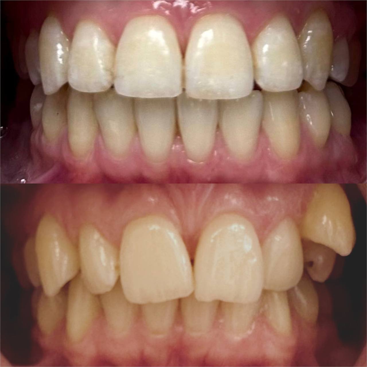
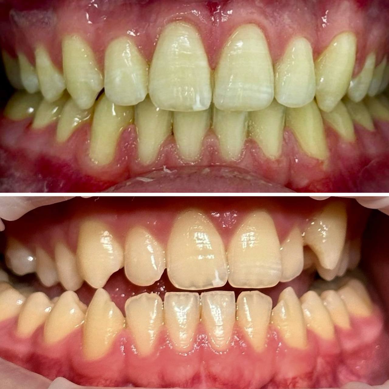
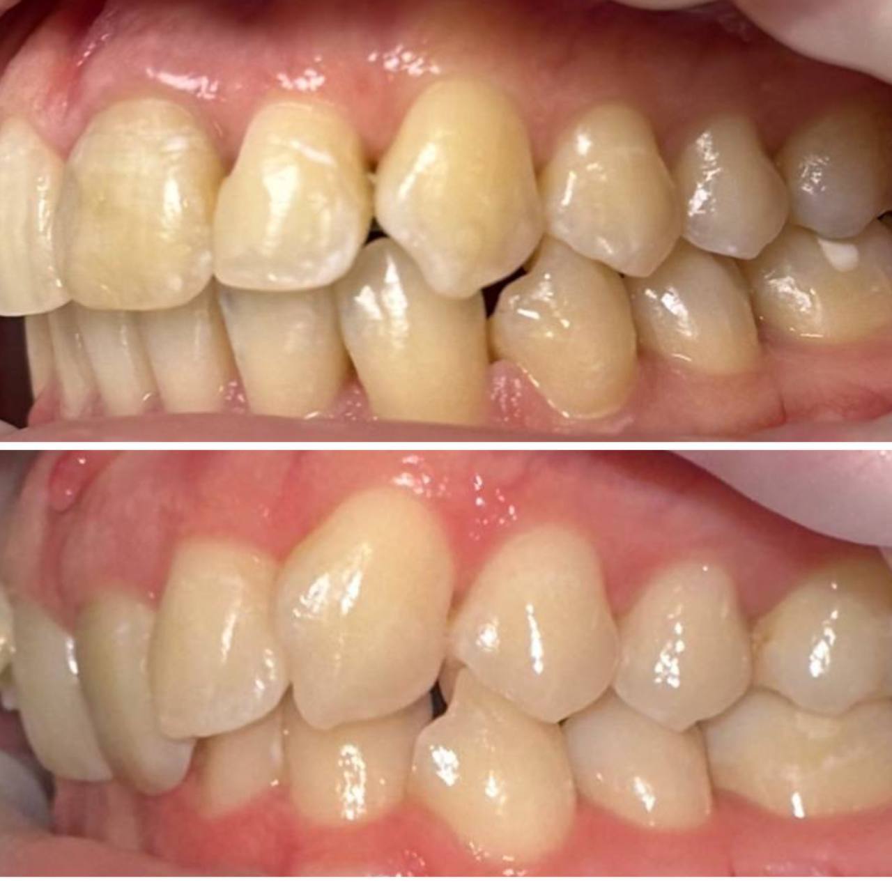
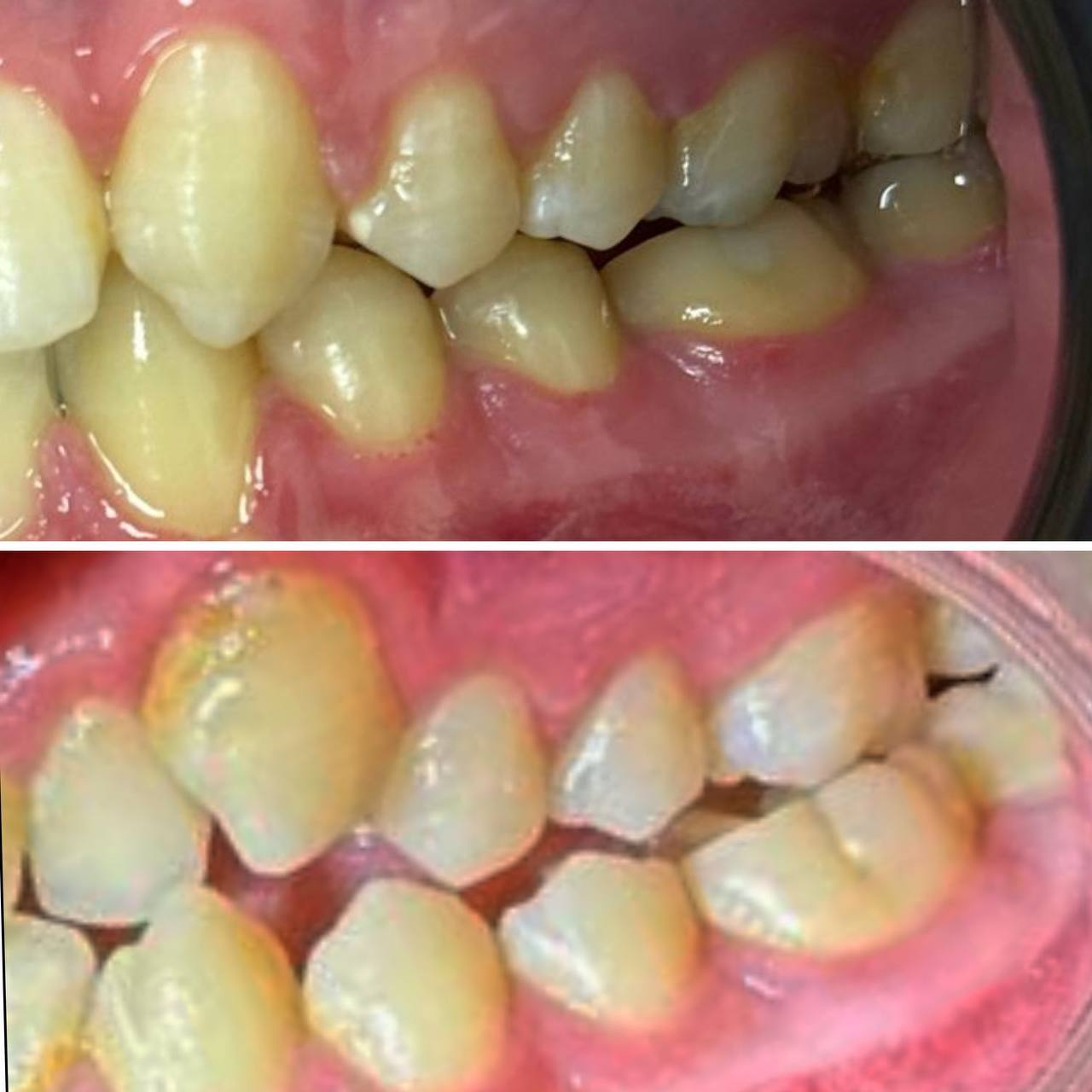
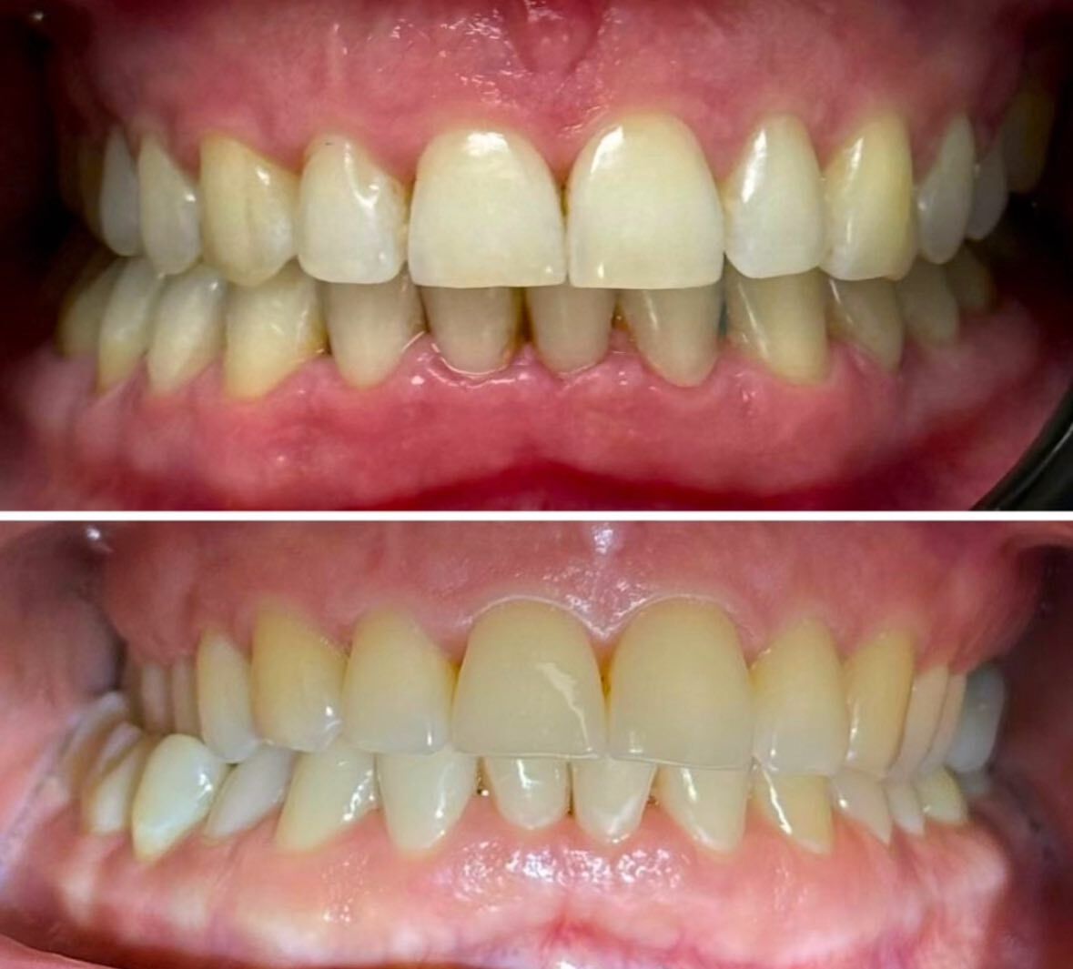
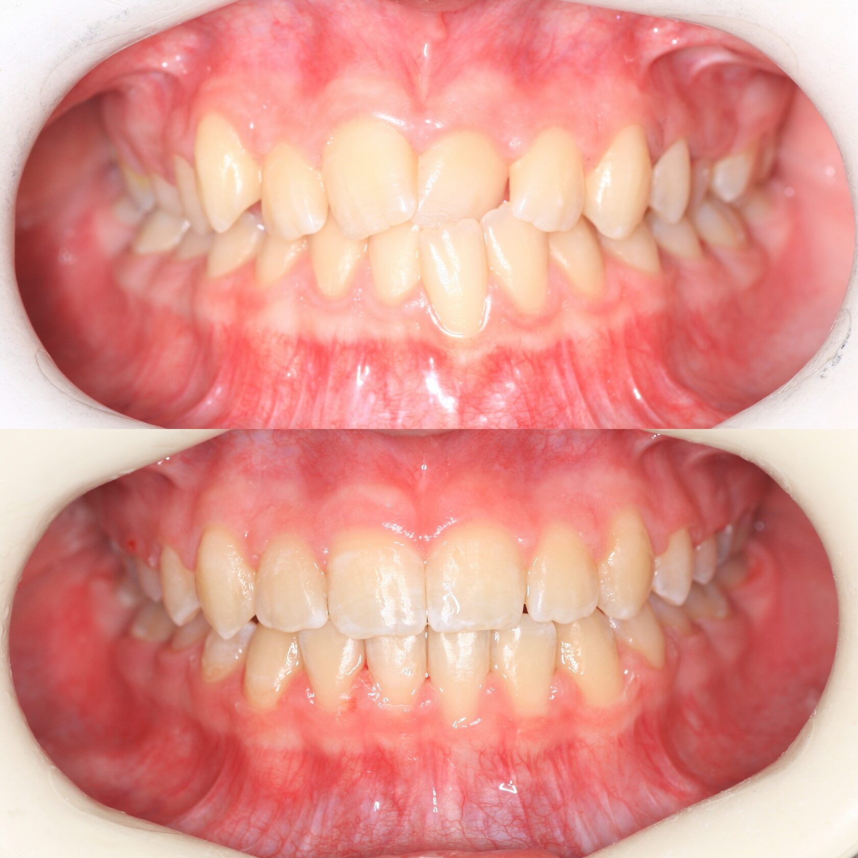
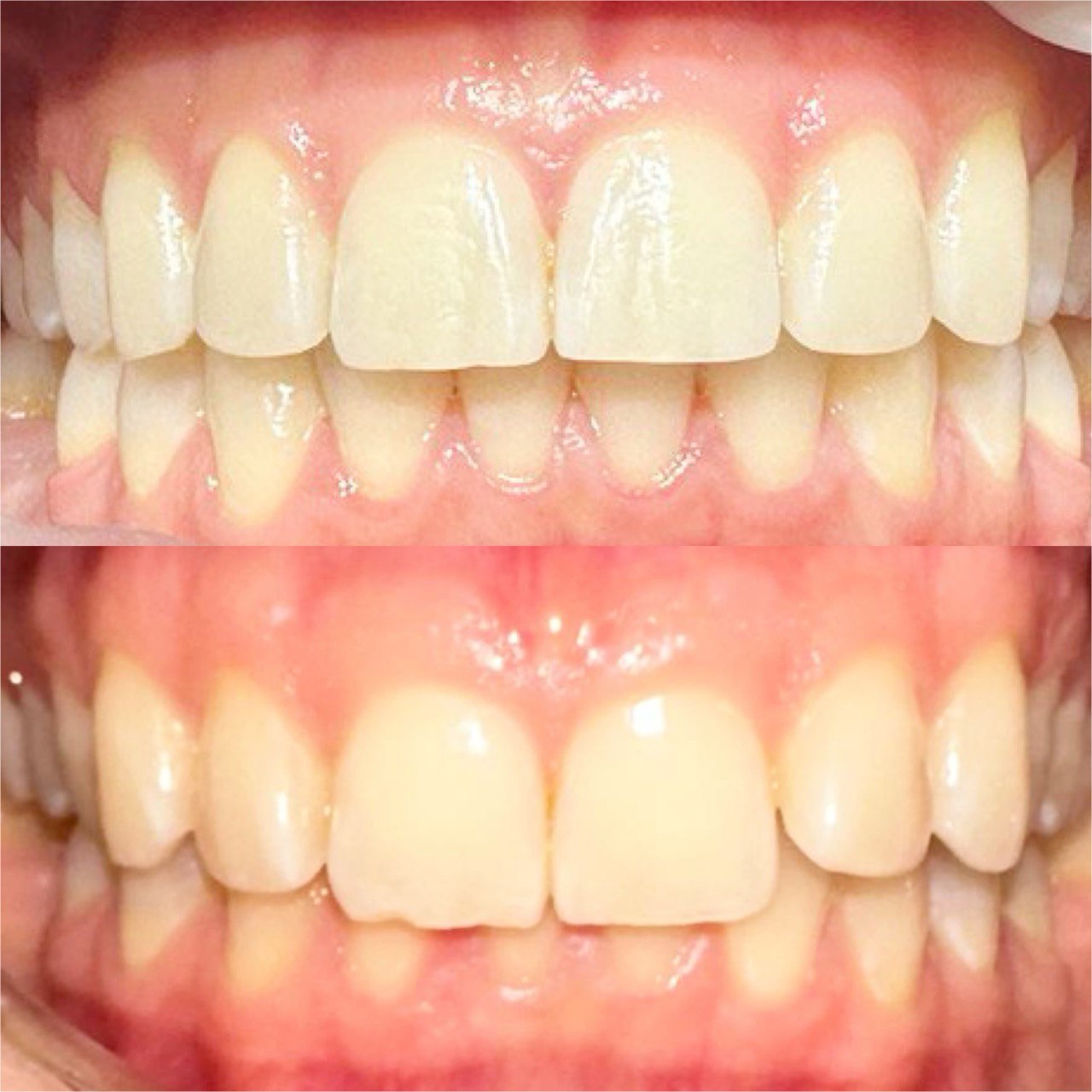
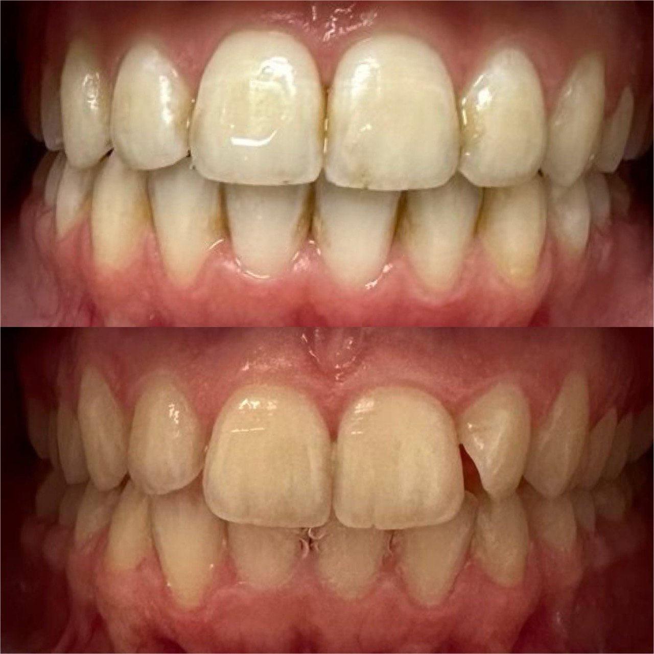
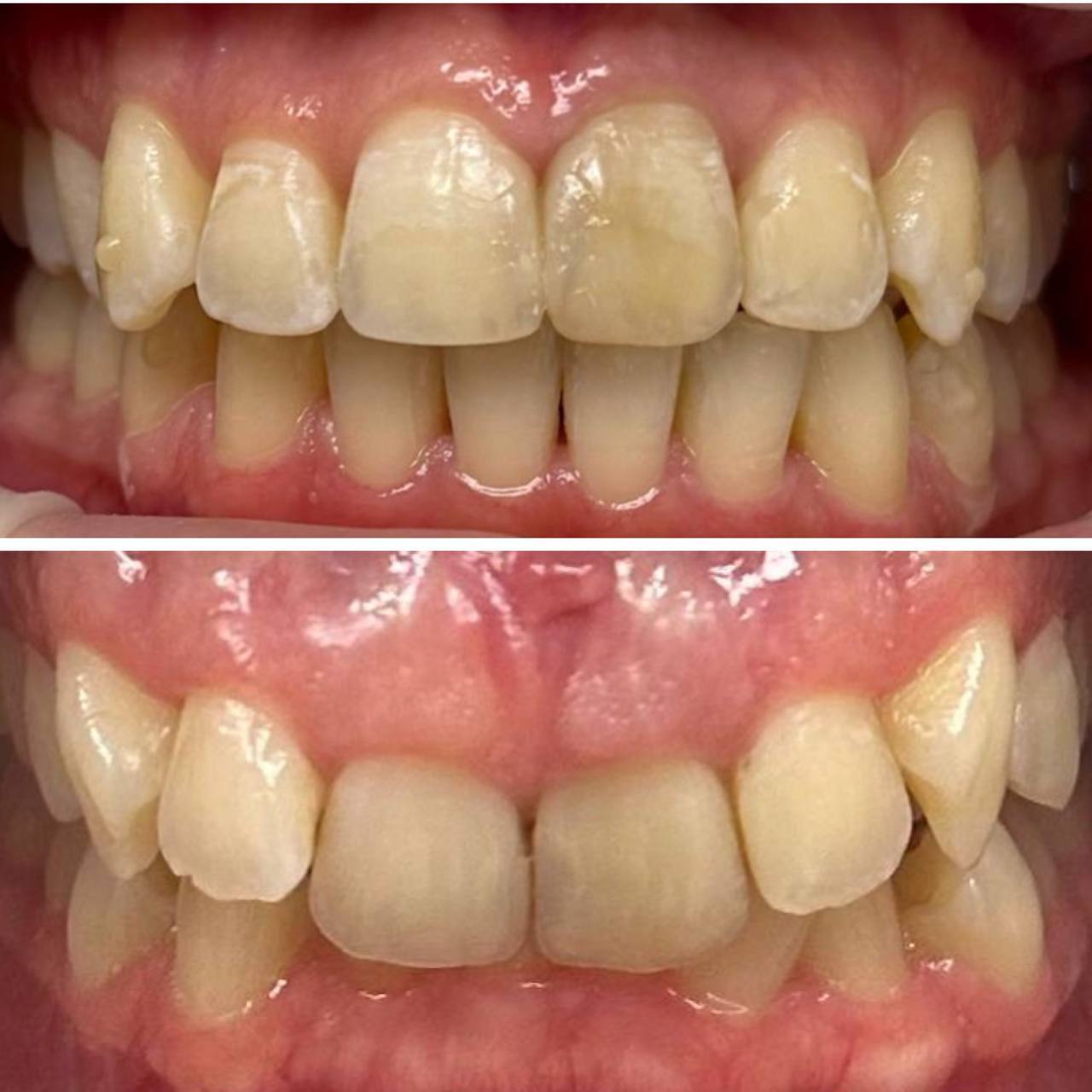
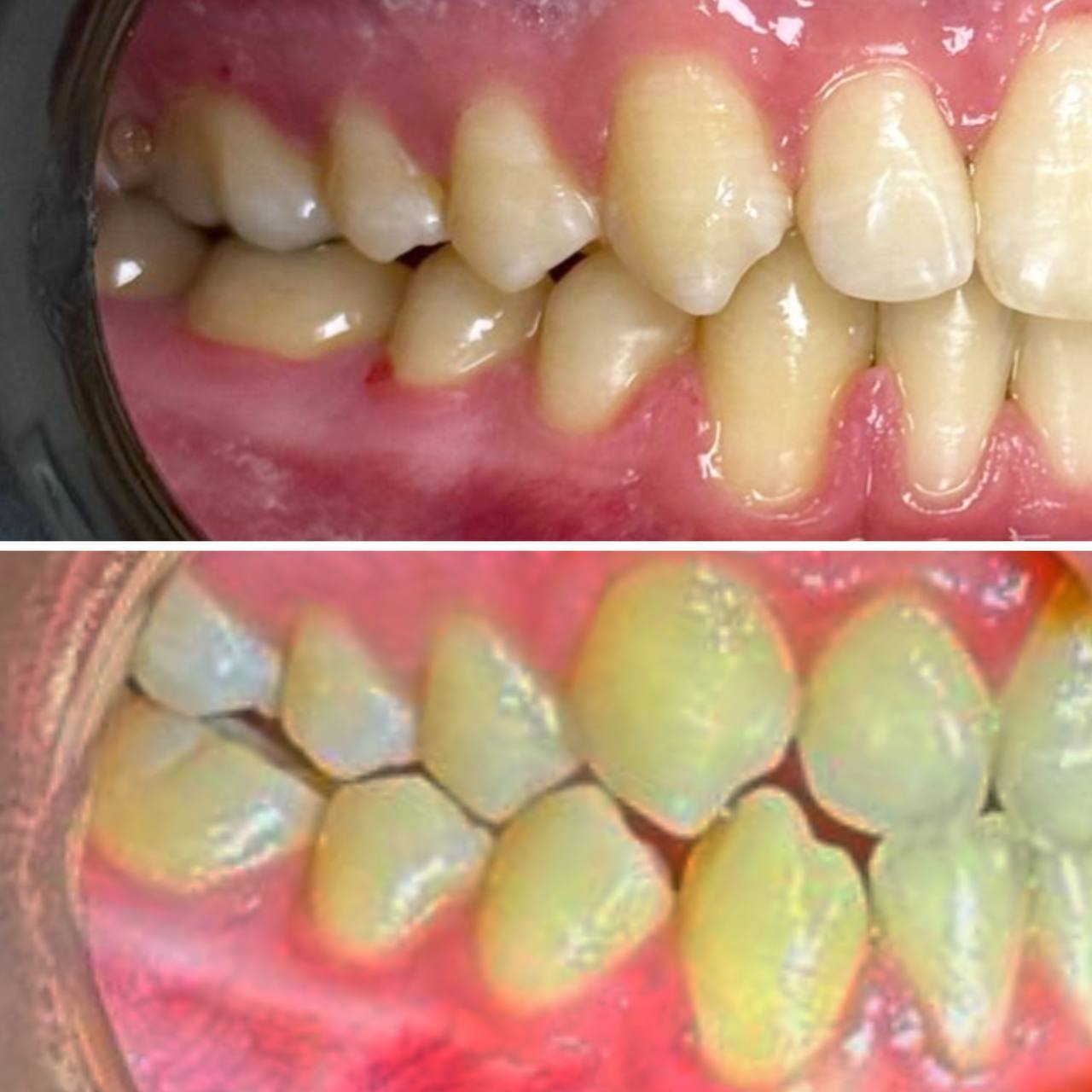
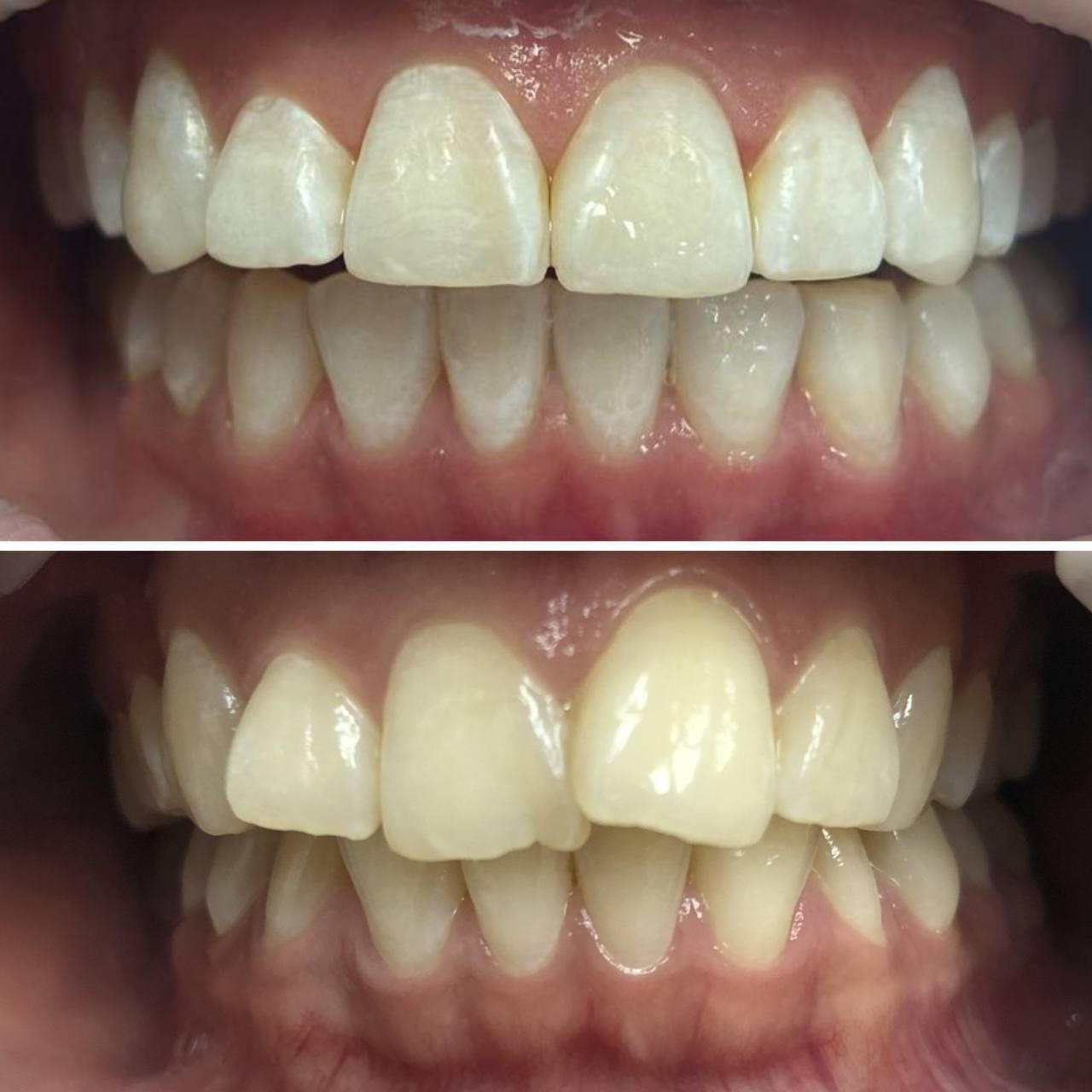
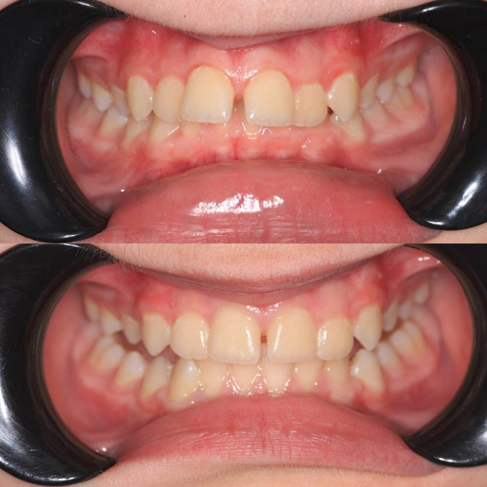
Результаты ортодонтического лечения
Что такое брекет-система?
Виды брекетов

Металлические брекеты
Самыми популярными на сегодня являются металлические брекеты благодаря повышенной безопасности и практичности. Металл на подвергается коррозии, он надежен и прочен. К тому же лечение на таких брекетах проходит быстрее. Использование металлических брекетов для выравнивания зубов верхней и нижней челюсти доказало свою эффективность и проверенность. К тому же стоимость таких брекетов доступнее чем из других материалов.
Керамические брекеты
Если во время ортодонтического лечения эстетика играет существенную роль можно использовать керамические брекеты, поскольку такие они почти незаметны на зубах. Их легко подобрать под цвет эмали зубов. Они не травмируют десны, безопасны. Но стоит отметить, что со временем под действием некоторых напитков (кофе, чай, красные вина) и красящих специй могут незначительно окрашиваться. Также керамические брекеты недостаточно устойчивы к механическим воздействиям.
Сапфировые брекеты
Комбинированные брекеты
Этот вариант применяется когда на часть зубов необходимо установить керамику, а на остальные зубы – металл в зависимости от ситуации. Иногда на нижнюю челюсть устанавливаются металлические брекет-системы, а на верхнюю челюсть керамические брекеты, так как при улыбке видны больше верхние зубы. Также бывают ситуации, когда
керамику ставят на передние зубы, а на боковые – металлические брекеты. Решение принимается ортодонтом исходя из индивидуальных пожеланий пациента.
Этапы установки брекетов
Как долго нужно носить брекеты?
Как часто нужно посещать ортодонта во время ношения брекетов?
Как ухаживать за зубами во время ношения брекетов?

Во время ортодонтического лечения, чтобы предупредить возникновение кариозных полостей, необходимо тщательно следить за гигиеной полости рта. Наличие несъемных ортодонтических конструкций на зубах значительно снижают процессы естественного очищения в полости рта. Необходимо ежедневно чистить зубы утром и вечером с использованием зубной щетки и пасты, использовать межзубных ершики и ирригатор для промывания труднодоступных мест. При ношении брекетов рекомендуется чаще проводить профессиональную гигиену полости рта. И не отказывайтесь от подбора ершиков. При лечении зубы интенсивно меняют свое положение в зубном ряду и межзубное пространство тоже изменяется. Поэтому ершики, подобранные в начале ортодонтического лечения, не подойдут в середине и в конце лечения. Стоматологи Милленниум клиник помогут Вам скорректировать навыки гигиены во время прохождения ортодонтического лечения.
Стоимость брекетов в Уфе
Стоимость ортодонтического лечения зависит от типа брекет-системы. Самым доступным вариантом являются металлические брекеты, их цена начинается от 20 000 рублей за одну челюсть, если вы планируете установить керамические брекеты, то приготовьтесь потратить примерно 40 000 рублей за одну челюсть. Если на этапе лечения потребуются установка дополнительных конструкций, например ортодонтических винтов, то это также приведет в его удорожанию. Для определения точной цены лечения стоит записаться на консультацию к нашим стоматологам. Опытный ортодонт подробно проконсультирует Вас по вопросам установки брекетов, их эффективности и длительности ношения.
Цены на брекеты