
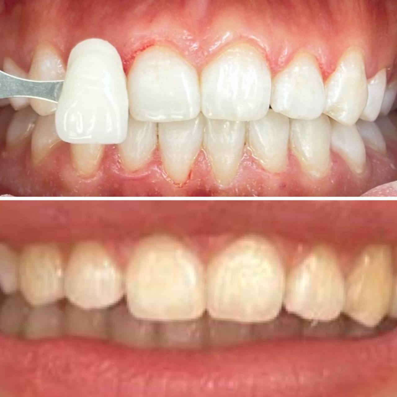
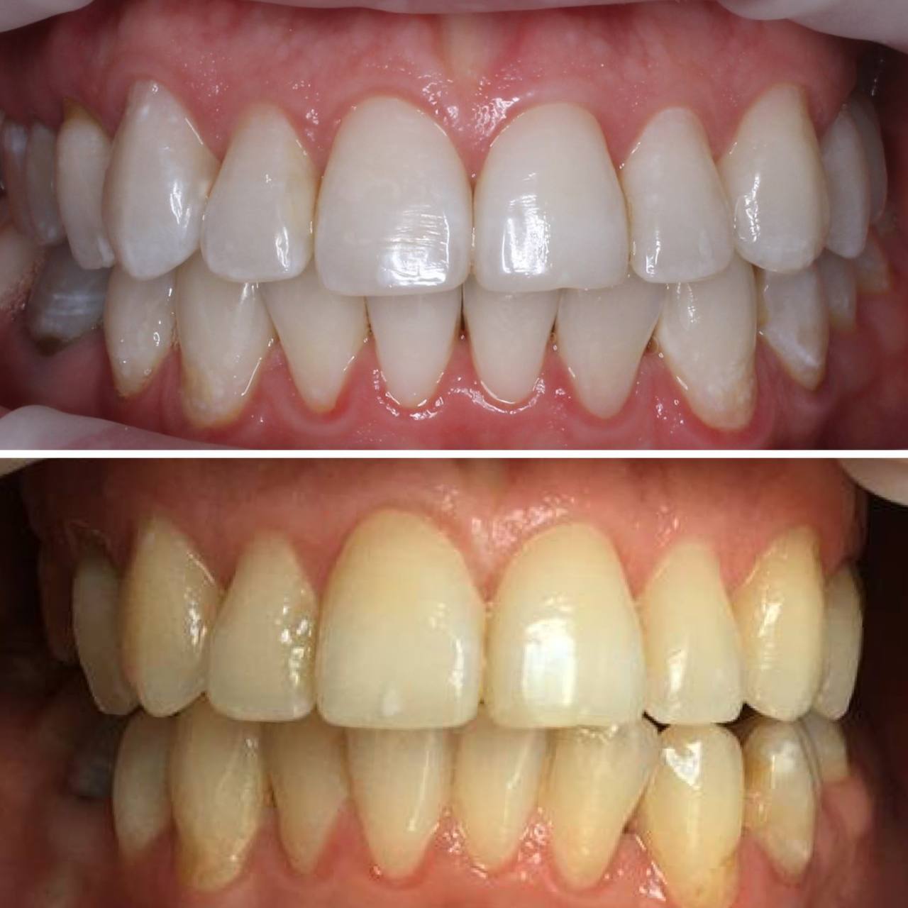
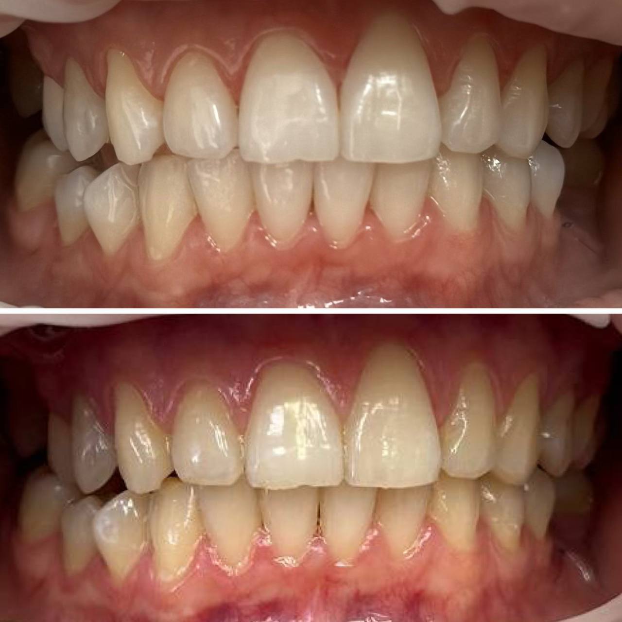
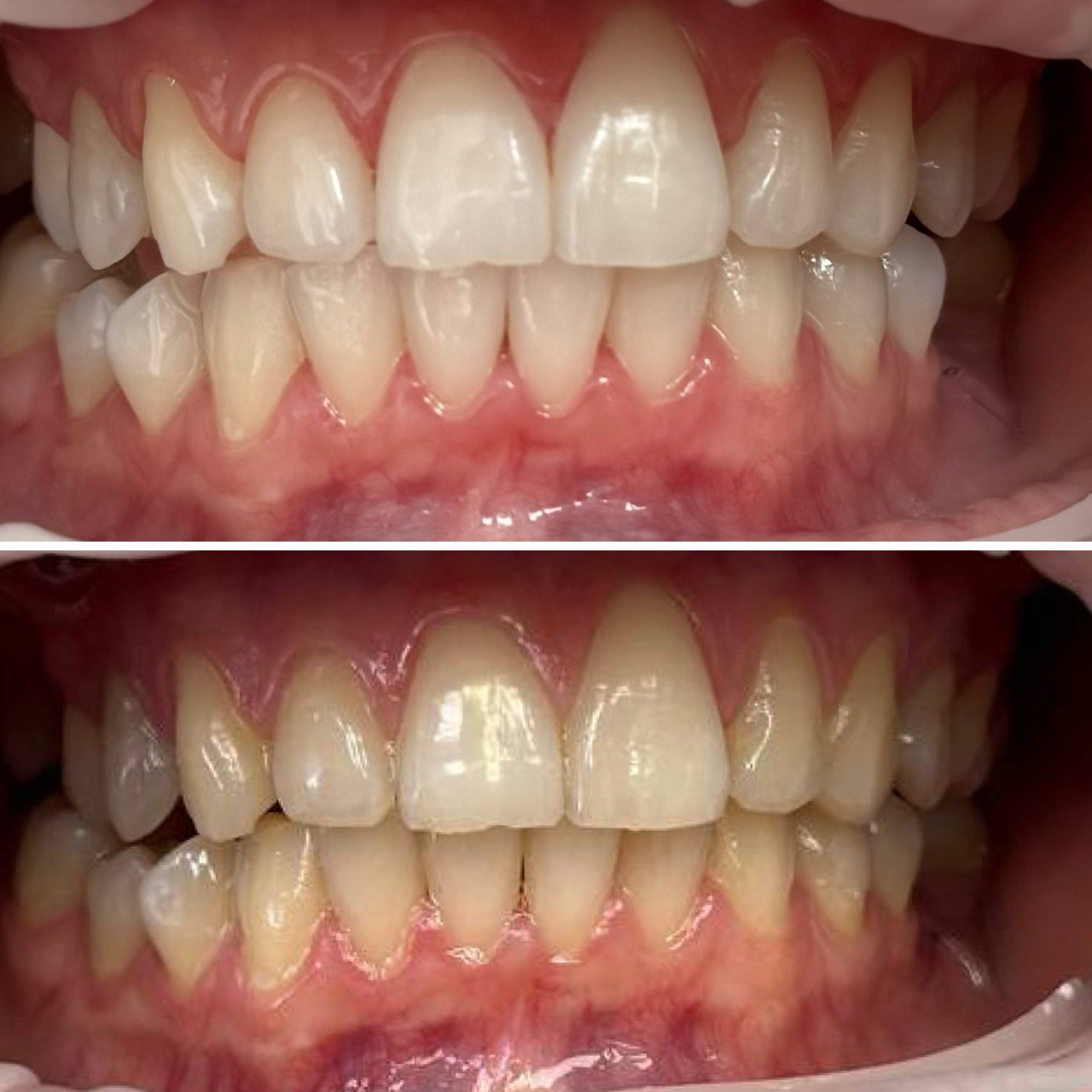
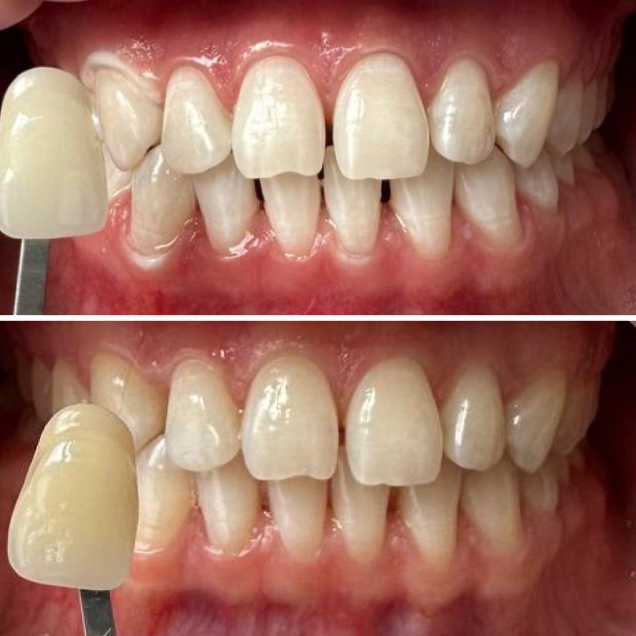
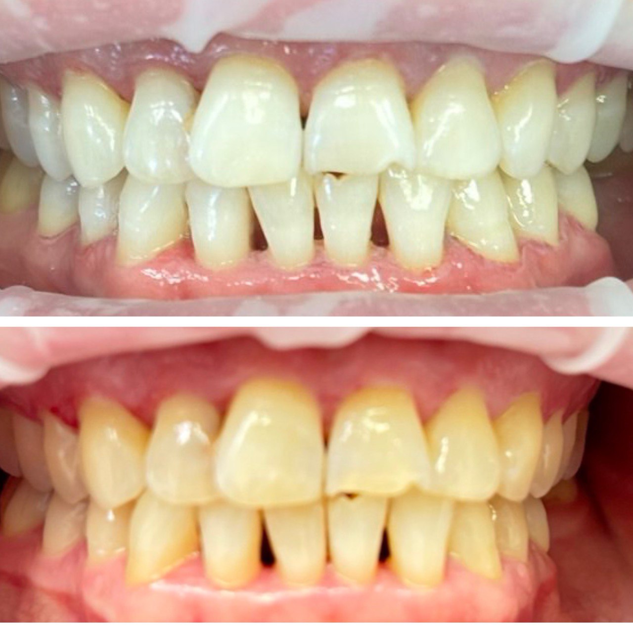
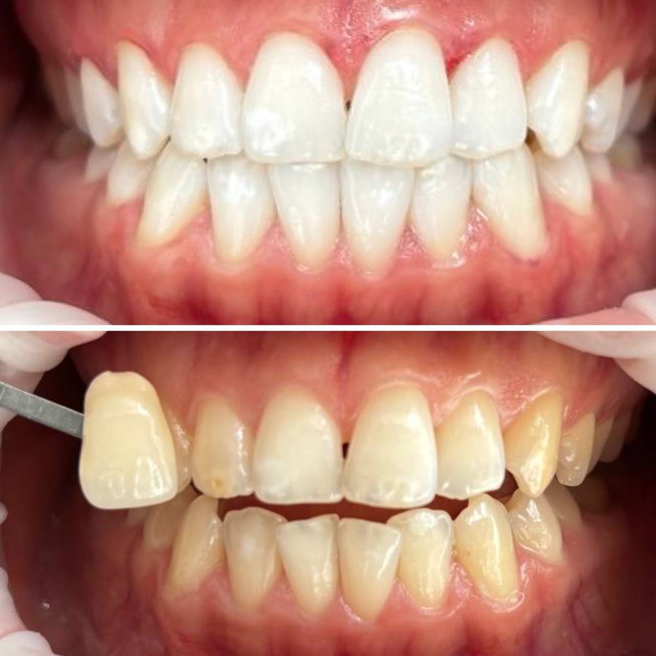
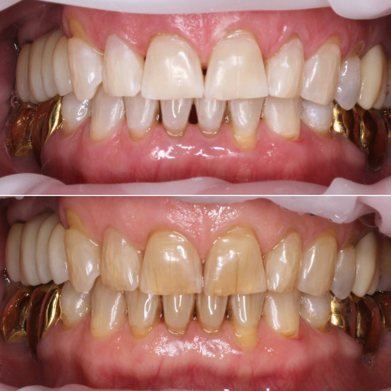
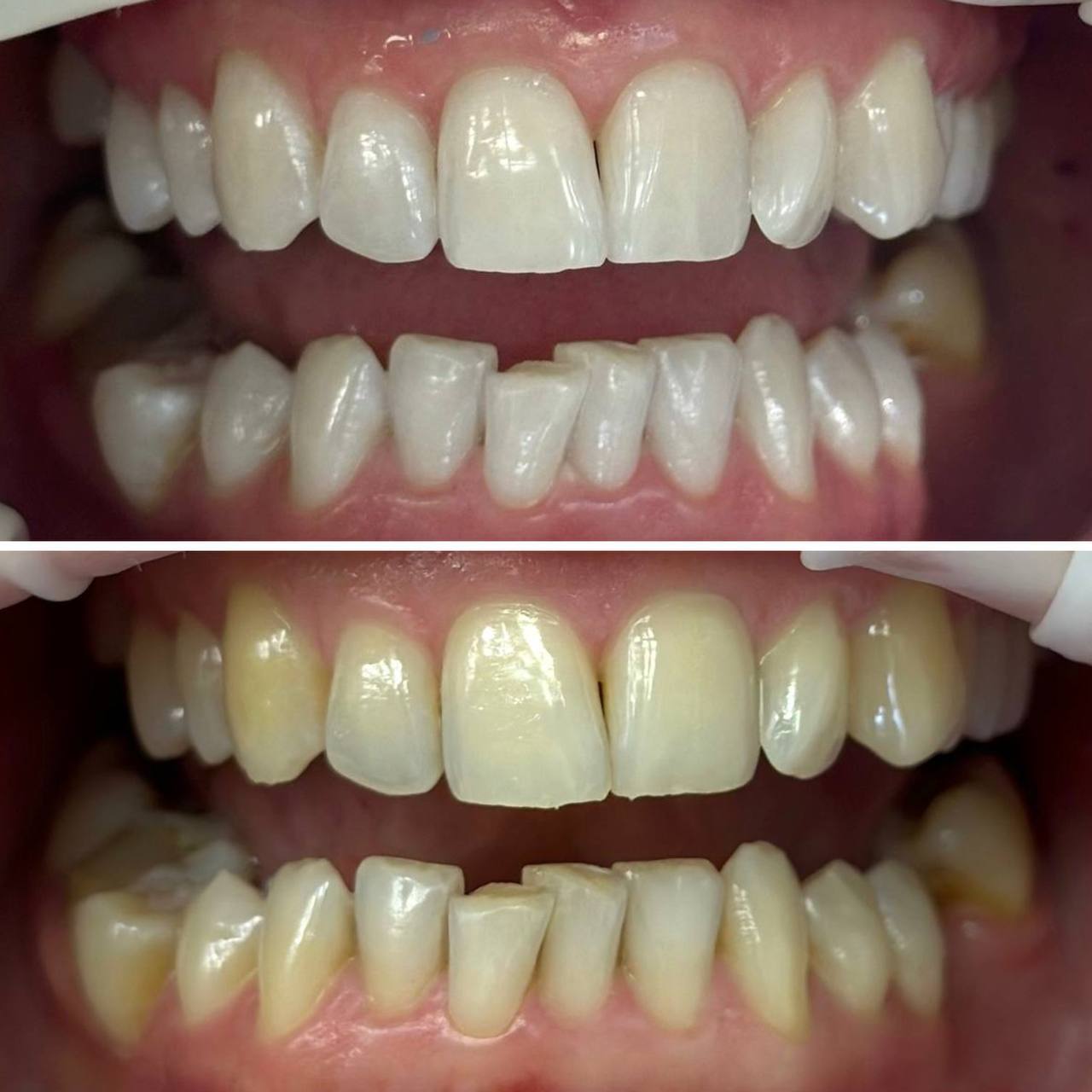
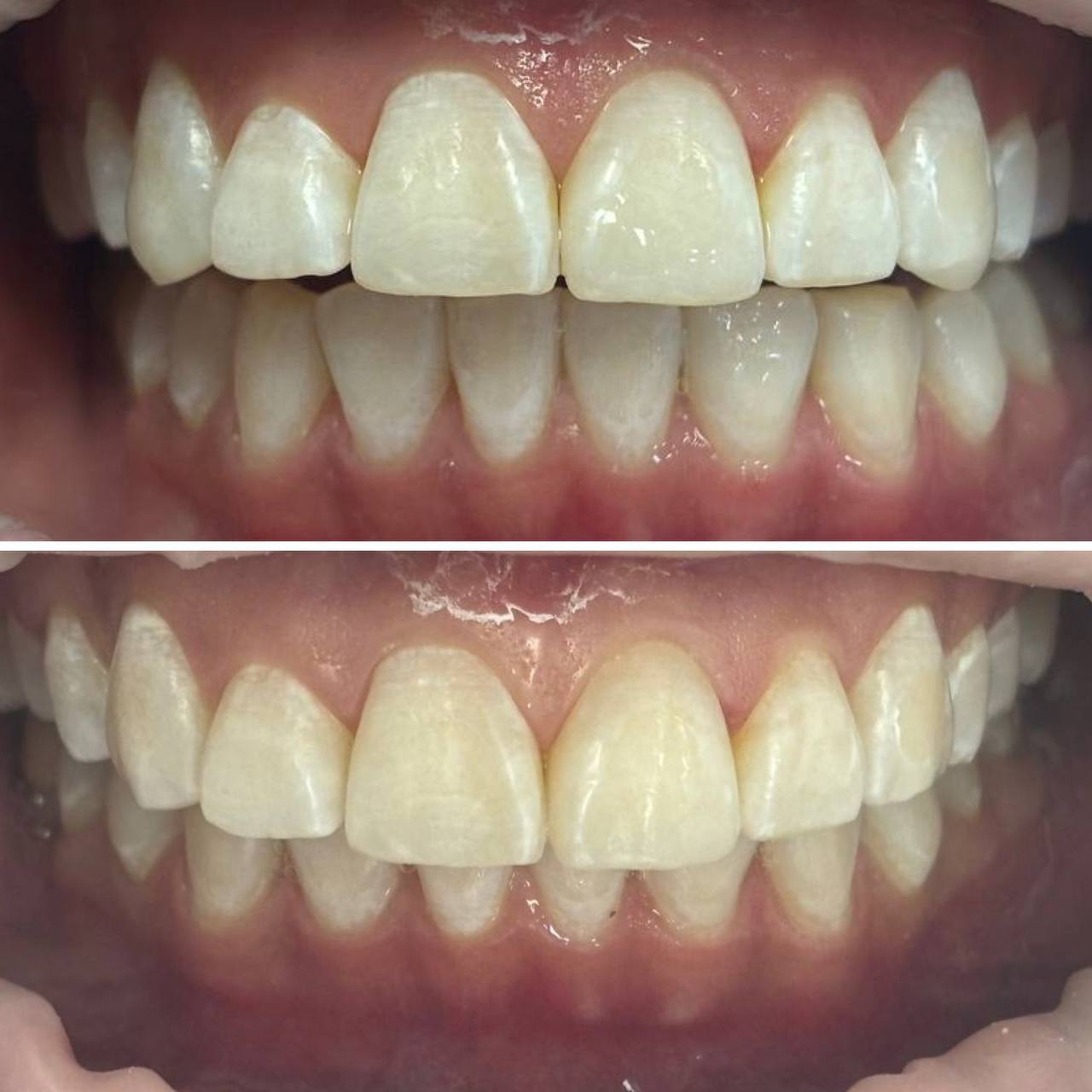
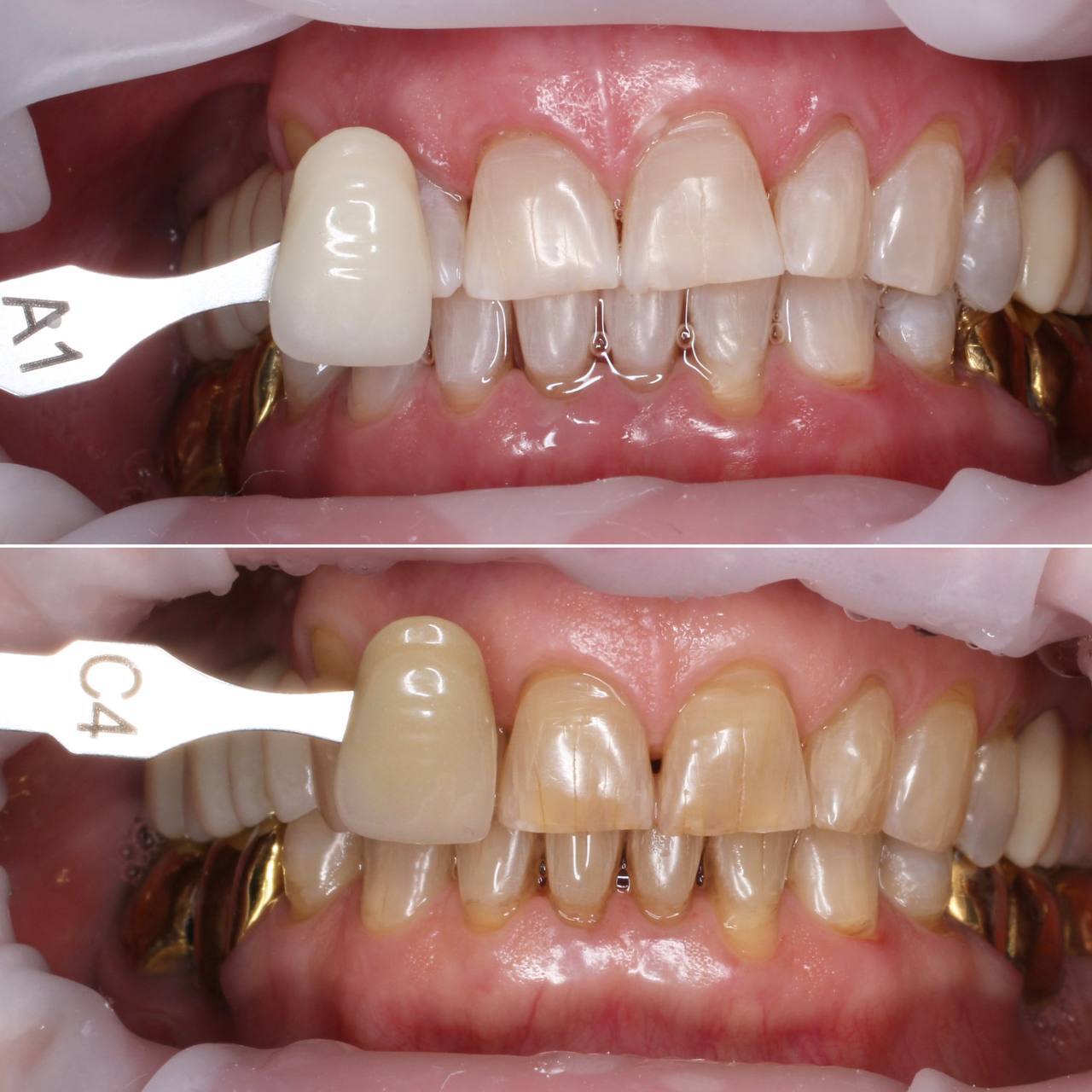
Результаты ДО и ПОСЛЕ отбеливания зубов
Каждый человек имеет свой природный оттенок зубов. Он зависит от цвета дентина, ткани которая находится под эмалью. В норме эмаль всегда плотная, ровная и гладкая. Дентин же имеет пористую структуру, а цвет его может варьироваться от от ярко-белого до кремового, желтого, даже серого. С течением времени и под воздействием агрессивных внешних факторов эмаль истончается. сквозь нее становится видно более темные ткани зуба. К тому же дентин благодаря своей структуре начинает накапливать мельчайшие частички пищевых красителей. Все это в комплексе приводит к потемнению зубов.
Рассмотрим основные причины:

Показания и противопоказания для отбеливания зубов
Домашнее отбеливание зубов
Отбеливание зубов в домашних условиях должно осуществляться только исходя из рекомендаций вашего стоматолога. Специалисты нашей клиники категорически не рекомендуют вам пользоваться советами из Интернета, народными способами поскольку многие из них неэффективны, а некоторые попросту опасны и способны нанести большой вред вашему здоровью.
Для домашнего отбеливания мы предлагаем удобный и доступный по цене метод – использование индивидуально изготовленных кап, которые заполняются отбеливающим гелем и надеваются на зубной ряд.
На осмотре стоматолог оценит состояние зубов и десен, сделает слепок для изготовления индивидуальной каппы. Каппа изготовление капп из прозрачного пластика. Пациенту выдается гель для отбеливания. Концентрация отбеливающего вещества в нем ниже чем в тех, которые используются в кабинете стоматолога.
Разновидности отбеливания зубов
Рекомендации после процедуры
Цены на отбеливание в Уфе